Instagram
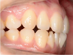
当院では約8割の患者様が正面から見えない、「舌側矯正」を選択されます。矯正にたずさわって30年以上・2018年 251人中222名が舌側矯正・2019年 250人中209人が舌側矯正・2020年 228人中181人が舌側矯正※上記の通り約8割の方が舌側矯正 当院では約8割の患者様が正面から見えない、「舌側矯正」を選択されます。矯正にたずさわって30年以上・2018年 251人中222名が舌側矯正・2019年 250人中209人が舌側矯正・2020年 228人中181人が舌側矯正※上記の通り約8割の方が舌側矯正
地下鉄「天神」駅4番出口すぐ 地下鉄「天神」駅4番出口すぐ

福岡の矯正歯科専門
クリニックです

日本歯科専門医機構 
矯正歯科専門医 認定

矯正歯科専門医は、矯正歯科の診断、治療および術後管理に関して高度な医療技能と経験ならびに専門知識を有し、標準的な矯正歯科治療を提供する能力を有する者と規定されています。2025年時点、矯正歯科専門医は全国に約300名程しかいません。

カウンセリング予約を
ご希望の方へ

ご予約の前に必ずお読みください(PDF)
  • カウンセリング予約カウンセリング予約
  • 診療カレンダー診療カレンダー

当クリニックは日本矯正歯科学会臨床指導医の資格を有しています。日本矯正歯科学会の認定医を取得したい歯科医師の先生は取得することが可能です。詳細はご連絡ください。

News

お知らせ

2026.05.15
院内設備工事に伴い、6月まで診療ユニット数を縮小して診療を行っております。
患者様への診療をできる限り確保するため、期間中は休診日を設けず診療対応を行ってまいります。
診療時間は診療カレンダーをご確認ください。
患者様にはご不便をおかけいたしますが、何卒ご理解・ご協力のほどよろしくお願い申し上げます。
2025.06.06
歯科技工士を応募しています。
詳細は求人情報をご確認ください。
2025.02.27
3月5日は世界舌側矯正歯科学会の為、院長が不在となりますので代診の柳川先生がご対応致します。

3月28日は講習会の為、院長が不在となりますので代診の渡邉先生がご対応致します。
2023.06.29
【夏季休暇のお知らせ】
8/13(日)〜8/17(木)まで休診いたします。
2023.04.30
【GWのお知らせ】
5/1(月)〜5/5(金)まで休診いたします。
2022.12.02
【年末年始のお知らせ】
12/28(水)は10:00〜14:00までの午前診療となります。
12/29(木)〜翌年1/5(木)まで休診いたします。
1/6(金)は10:00〜14:00までの午前診療となります。
2022.10.03
症例を追加しました。
2021.05.31
ホームページをリニューアルしました。
Feature

当院の特徴

当クリニックでは舌側矯正治療をメインに行なっています。
たゆまぬ研鑽とより新しい技術への飽くなき探究心が、今日の「しもだ矯正歯科クリニック」を支えています。

  • 01舌側矯正への自信

    舌側矯正への自信
  • 02たゆまぬ研鑽治療技術の追求

    たゆまぬ研鑽と治療技術の追求
  • 03院内技工による矯正装置

    院内技工による矯正装置
Case

治療例一覧

しもだ矯正歯科クリニック院長 下田 哲也しもだ矯正歯科クリニック院長 下田 哲也
Greeting

院長挨拶

しもだ矯正歯科クリニック院長 下田 哲也 しもだ矯正歯科クリニック院長 下田 哲也

福岡天神のしもだ矯正歯科のサイトにようこそ。 しもだ矯正歯科は、「福岡市地下鉄天神駅3・4番出口すぐ」にある「福岡証券ビル地下1階」に店舗を構え、中学生・高校生・大学生など10代・20代をはじめ、30代・40代・50代・60代の方まで幅広くご来院いただいております。 しもだ矯正歯科といえば「舌側矯正」。 歯の裏側に装置をつけるので周りから装置が見えません。 この舌側矯正のブランドを福岡で作るべく長年に渡って矯正治療の研鑽に努めております。 装置に関しましても動きや特徴など隅々まで研究し、「より効率よく歯を動かすシステム」を世の中に提案していきたいと考えています。

装置が治すのではなく術者が治す。
そして患者様が理解し、協力していただく

福岡でも近年、「マウスピースによる矯正治療」を扱う歯科医院が増えてきました。 「見えない矯正装置」「取り外しのできる矯正装置」というキャッチコピーのもと堰を切ったように普及しています。 私が申し上げたいのは歯列・噛み合わせは装置が治してくれるわけではないということです。 歯列矯正に長年携わり、症例実績があり、矯正学を理解している歯科医師が診断し、治療計画を立て、歯を並べるだけでなくしっかりと噛ます。 歯科矯正のプロとして患者様が困らないように「正しい矯正治療」を啓蒙させていくことをここに誓います。