- ホーム>
- 噛み合わせが一部反対(交叉咬合)
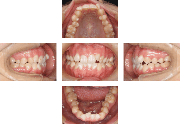
Case1
| 主訴 | ガタガタの歯並び |
|---|---|
| 診断名 | 交叉咬合 |
| 年齢 | 25歳 |
| 治療に 用いた装置 |
リンガルブラケット矯正装置 (エッグブラケット) |
| 抜歯部位 | 非抜歯 |
| 治療期間 | 2年8ヶ月 |
| 治療費用 | 1,385,100円 |
| リスク・ 副作用 |
|
Case2
| 主訴 | 前歯のガタガタ |
|---|---|
| 診断名 | 上顎側切歯の交叉咬合 |
| 年齢 | 18歳 |
| 治療に 用いた装置 |
リンガルブラケット矯正装置 (エッグブラケット)、 マルチブラケット装置 |
| 抜歯部位 | 上顎左右4番 |
| 治療期間 | 1年8ヶ月 |
| 治療費用 | 1,085,000円 |
| リスク・ 副作用 |
|
Case3
| 主訴 | ガタガタの歯並び |
|---|---|
| 診断名 | 上顎右側側切歯の交叉咬合 |
| 年齢 | 30歳 |
| 治療に 用いた装置 |
リンガルブラケット矯正装置 (エッグブラケット) |
| 抜歯部位 | 上顎左右4番 |
| 治療期間 | 3年11ヶ月 |
| 治療費用 | 1,441,000円 |
| リスク・ 副作用 |
|
Case4
| 主訴 | ガタガタの歯並び |
|---|---|
| 診断名 | 交叉咬合 |
| 年齢 | 41歳 |
| 治療に 用いた装置 |
リンガルブラケット矯正装置 (エッグブラケット) |
| 抜歯部位 | 非抜歯 |
| 治療期間 | 2年7ヶ月 |
| 治療費用 | 1,441,000円 |
| リスク・ 副作用 |
|













