- ホーム>
- 外科矯正
歯並びや噛み合わせを整えるだけでなく、骨格に対する外科処置が必要な場合に行う矯正治療を「外科矯正」といいます。精密検査の結果、外科矯正が必要になる「顎変形症」と認められる場合、矯正治療が保険適用となります。
顎変形症について
顎変形症とは、上あごや下あごの大きさや形の問題やズレなどによって、歯並びや噛み合わせ、顔貌に影響が出ている状態です。 精密検査を行い、分析の結果、基準値を超える骨格性の問題がある場合、顎変形症と診断されます。
外科矯正になる歯並び・
噛み合わせ
-
骨格性の出っ歯

骨格のズレによって出っ歯になっていたり、下あごの劣成長により出っ歯になっているケース

-
骨格性の受け口
下あごの骨の長さの問題や下あごが大きく前方にズレていることで受け口になっているケース
-
開咬
骨の長さや大きさの問題によって、上下の前歯が噛み合わないケース
-
偏位
顎の歪みや骨の長さや大きさの問題によって、噛み合わせや顔貌や左右どちらかに歪んでいるケース
外科矯正の流れ
骨格の問題がある場合、矯正治療に外科手術を併用することで骨格の問題を改善します。 外科矯正では、基本的に外科手術の前後に矯正治療を行います。
-
1精密検査・診断
-
2連携病院の口腔外科を受診
-
3矯正治療開始(術前矯正)
-
4外科手術
-
5術後矯正
-
6矯正治療終了・保定
矯正治療が保険適用になる
ケース
矯正治療は一般的に保険適用外の治療となりますが、外科矯正の他にも、下記のようなケースで矯正治療が保険適用となります。
- ■厚生労働大臣が定める疾患に起因した咬合異常に対する矯正歯科治療
- ■前歯3歯以上の永久歯萌出不全に起因した咬合異常(埋伏歯開窓術を必要とするものに限る)に対する矯正歯科治療
治療例
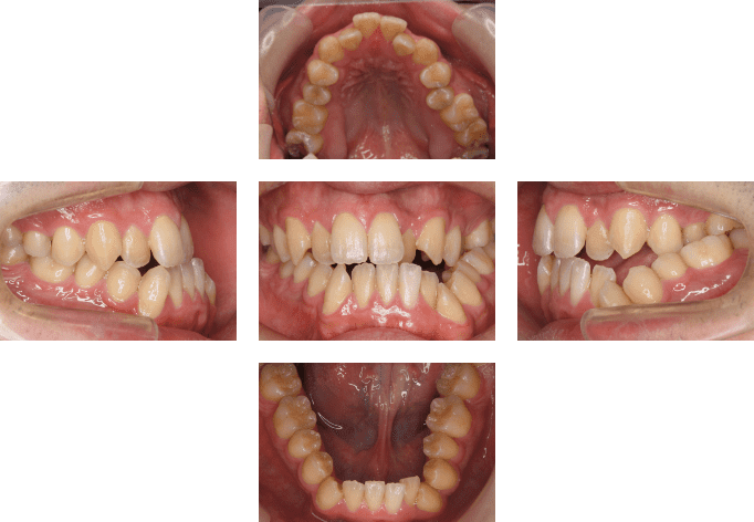
Case.1
-
- 主 訴
- 噛み合わない
- 診断名
- 骨格性下顎前突
- 年 齢
- 21歳
- 治療に用いた主な装置
- マルチブラケット装置
-
- 抜歯部位
- 非抜歯
- 治療期間
- 1年10ヶ月
- 治療費用
- 780,000円(保険適用のため費用が多少前後します)
リスク・副作用
- ・患者様の協力が得られないと、治療期間や治療結果に影響を与えます。
- ・装置による痛みや不快感がありますが、1~2週間で慣れることがほとんどです。
- ・歯が動き方には個人差があるため、予想された治療期間が延長することがあります。
Case.2
-
- 主 訴
- 顎の歪み
- 診断名
- 下顎左側偏位
- 年 齢
- 21歳
- 治療に用いた主な装置
- マルチブラケット装置
-
- 抜歯部位
- 非抜歯
- 治療期間
- 2年1ヶ月
- 治療費用
- 780,000円(保険適用のため費用が多少前後します)
リスク・副作用
- ・患者様の協力が得られないと、治療期間や治療結果に影響を与えます。
- ・装置による痛みや不快感がありますが、1~2週間で慣れることがほとんどです。
- ・歯が動き方には個人差があるため、予想された治療期間が延長することがあります。







