- ホーム>
- 前歯が噛み合わない(開咬)
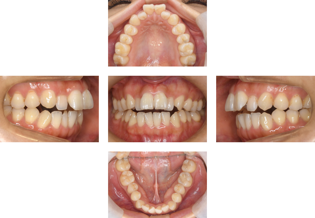
Case1
| 主訴 | 奥歯で噛めない |
|---|---|
| 診断名 | 開咬 |
| 年齢 | 22歳 |
| 治療に 用いた装置 |
リンガルブラケット矯正装置 (エッグブラケット) |
| 抜歯部位 | 非抜歯 |
| 治療期間 | 1年11ヶ月 |
| 治療費用 | 1,385,100円 |
| リスク・ 副作用 |
|
Case2
| 主訴 | 噛めない |
|---|---|
| 診断名 | 開咬 |
| 年齢 | 21歳 |
| 治療に 用いた装置 |
リンガルブラケット矯正装置 (クリッピーL)、 マルチブラケット装置 |
| 抜歯部位 | 上顎左右4番 |
| 治療期間 | 2年8ヶ月 |
| 治療費用 | 1,085,000円 |
| リスク・ 副作用 |
|
Case3
| 主訴 | 噛めない |
|---|---|
| 診断名 | 開咬 |
| 年齢 | 19歳 |
| 治療に 用いた装置 |
リンガルブラケット矯正装置 (エッグブラケット) |
| 抜歯部位 | 右上5番、左上6番 |
| 治療期間 | 3年1ヶ月 |
| 治療費用 | 1,441,000円 |
| リスク・ 副作用 |
|
Case4
| 主訴 | 噛めない |
|---|---|
| 診断名 | 開咬 |
| 年齢 | 30歳10ヶ月 |
| 治療に 用いた装置 |
リンガルブラケット矯正装置 (エッグブラケット) マルチブラケット装置 |
| 抜歯部位 | 上顎左右4番 |
| 治療期間 | 2年4ヶ月 |
| 治療費用 | 1,160,500円 |
| リスク・ 副作用 |
|
Case5
| 主訴 | 噛めない |
|---|---|
| 診断名 | 開咬 |
| 年齢 | 22歳 |
| 治療に 用いた装置 |
リンガルブラケット矯正装置 (エッグブラケット) |
| 抜歯部位 | 上顎左右4番 |
| 治療期間 | 2年3ヶ月 |
| 治療費用 | 1,441,000円 |
| リスク・ 副作用 |
|
















