- ホーム>
- 出っ歯(口ゴボ・上顎前突)
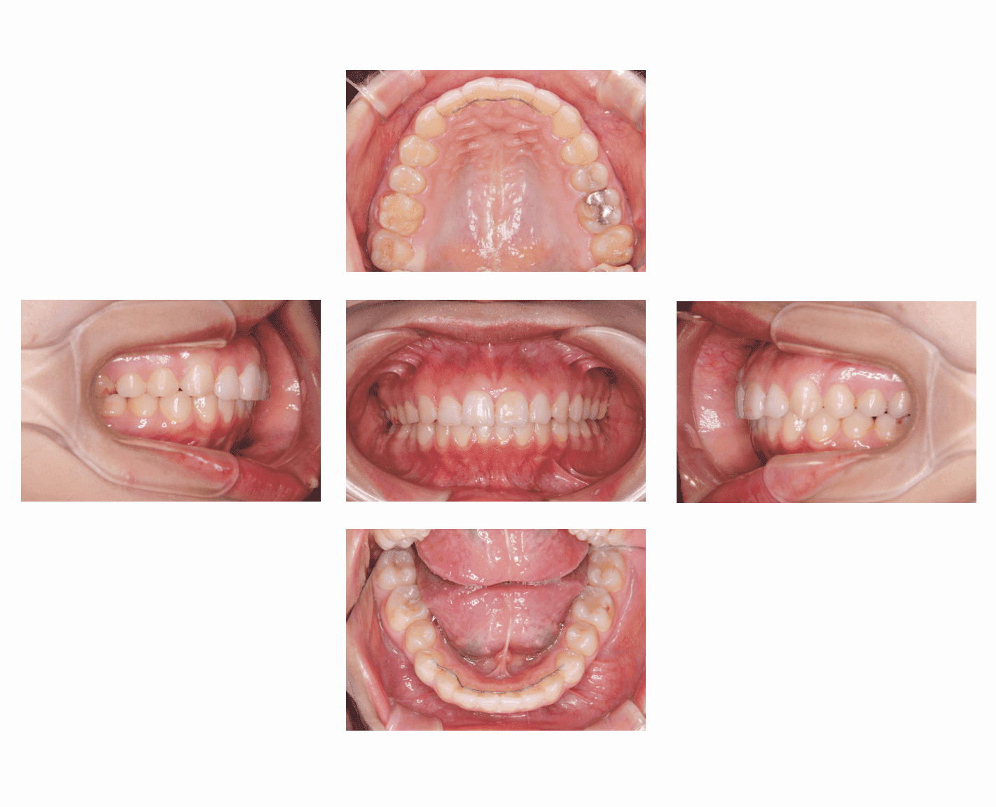
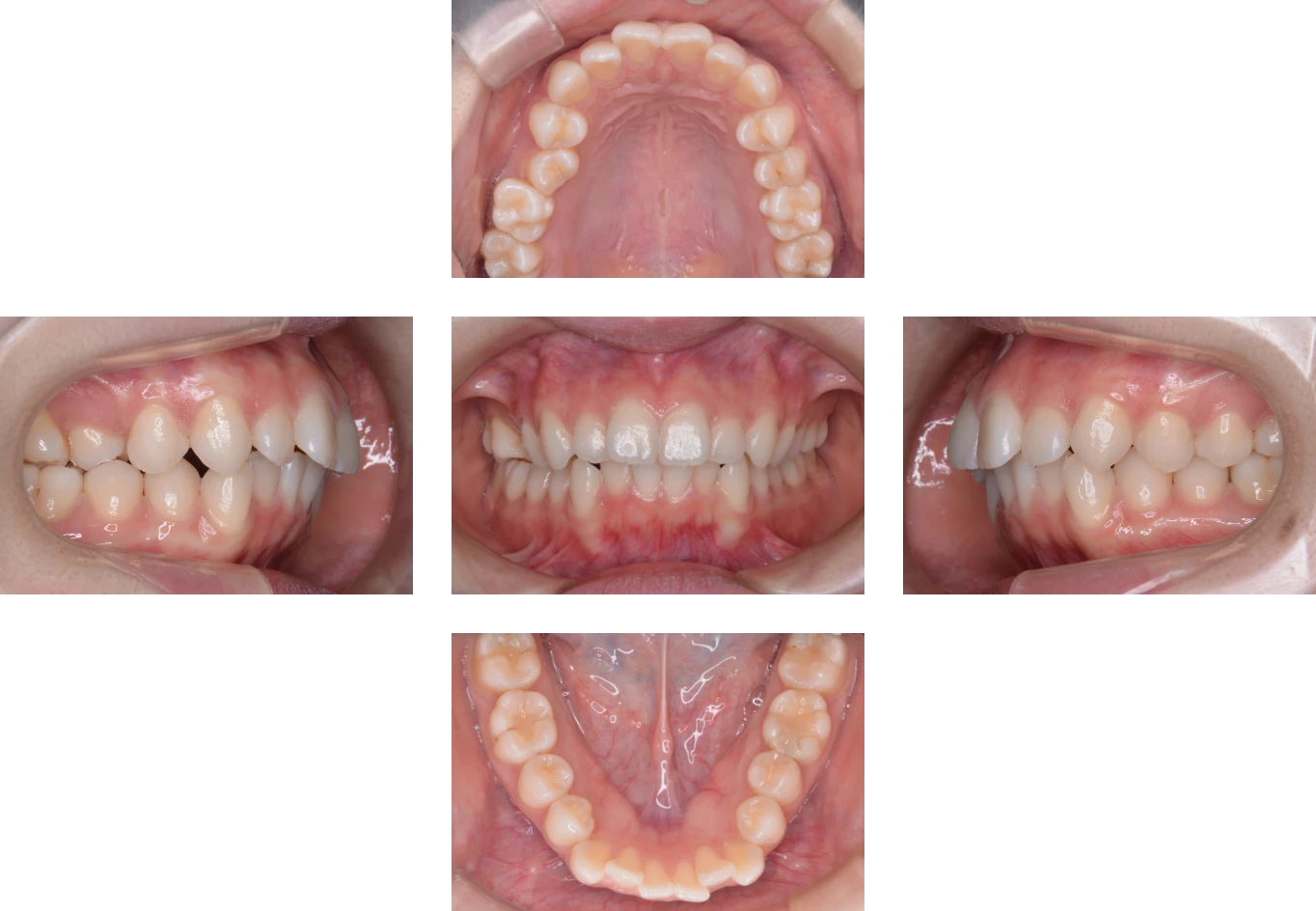
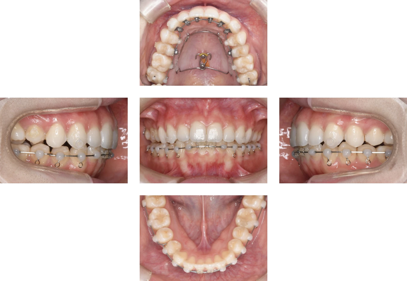
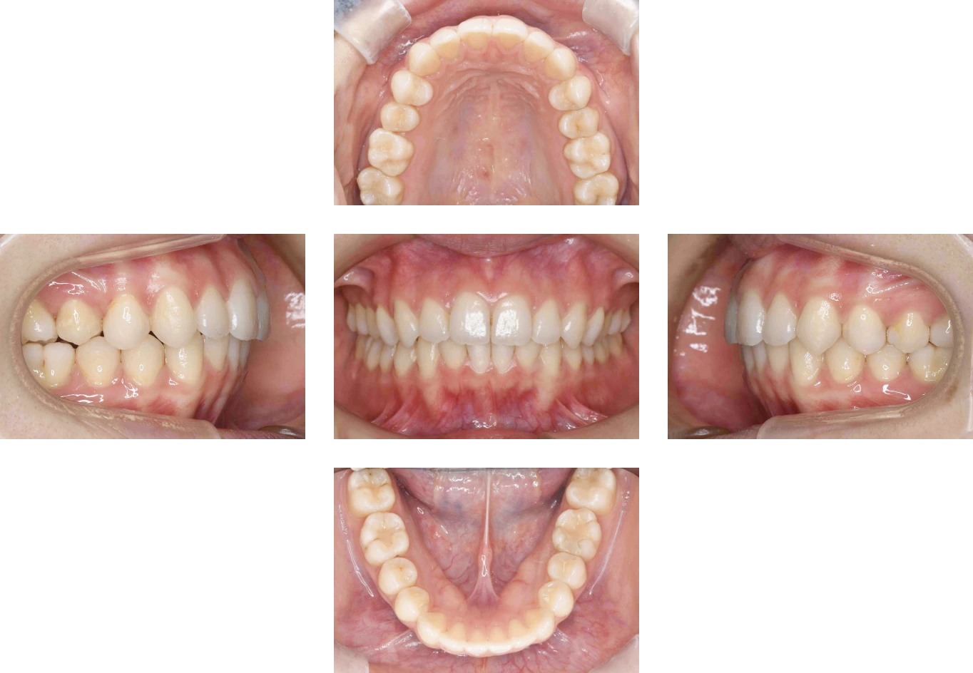
Case1
| 主訴 | 出っ歯が気になる |
|---|---|
| 診断名 | 上顎前突 |
| 年齢 | 27歳 |
| 治療に 用いた装置 |
リンガルブラケット矯正装置(エッグブラケット) |
| 抜歯部位 | 上下左右4番 |
| 治療期間 | 2年3ヶ月 |
| 治療費用 | 1,385,100円 |
| リスク・ 副作用 |
|
Case2
| 主訴 | すきっ歯と出っ歯 |
|---|---|
| 診断名 | 上顎前突 |
| 年齢 | 33歳 |
| 治療に 用いた装置 |
リンガルブラケット矯正装置(エッグブラケット)、 マルチブラケット装置 |
| 抜歯部位 | 非抜歯 |
| 治療期間 | 2年2ヶ月 |
| 治療費用 | 1,085,000円 |
| リスク・ 副作用 |
|
Case3
| 主訴 | 歯が出ているのが気になる |
|---|---|
| 診断名 | 上顎前突 |
| 年齢 | 16歳 |
| 治療に 用いた装置 |
リンガルブラケット矯正装置(エッグブラケット) |
| 抜歯部位 | 非抜歯 |
| 治療期間 | 2年5ヶ月 |
| 治療費用 | 1,385,100円 |
| リスク・ 副作用 |
|
Case4
| 主訴 | 前歯が出ている |
|---|---|
| 診断名 | 上顎前突 |
| 年齢 | 19歳 |
| 治療に 用いた装置 |
リンガルブラケット矯正装置(エッグブラケット) |
| 抜歯部位 | 非抜歯 |
| 治療期間 | 2年7ヶ月 |
| 治療費用 | 1,385,100円 |
| リスク・ 副作用 |
|
Case5
| 主訴 | 出っ歯 |
|---|---|
| 診断名 | 上顎前突 |
| 年齢 | 21歳 |
| 治療に 用いた装置 |
リンガルブラケット矯正装置(エッグブラケット)、 マルチブラケット装置 |
| 抜歯部位 | 上顎左右4番 |
| 治療期間 | 3年 |
| 治療費用 | 1,085,000円 |
| リスク・ 副作用 |
|
Case6
| 主訴 | 出っ歯 |
|---|---|
| 診断名 | 上顎前突 |
| 年齢 | 30歳 |
| 治療に 用いた装置 |
リンガルブラケット矯正装置(エッグブラケット) |
| 抜歯部位 | 非抜歯 |
| 治療期間 | 1年8ヶ月 |
| 治療費用 | 1,385,100円 |
| リスク・ 副作用 |
|
Case7
| 主訴 | 上の歯が出ている、口元が出ている、口唇が閉じにくい |
|---|---|
| 診断名 | 上顎前突 |
| 年齢 | 19歳 |
| 治療に 用いた装置 |
リンガルブラケット矯正装置(エッグブラケット)、 マルチブラケット装置 ※咬合面ZERO併用 |
| 抜歯部位 | 非抜歯 |
| 治療期間 | 9ヶ月 |
| 治療費用 | 1,085,000円 |
| リスク・ 副作用 |
|






















