- ホーム>
- 埋伏歯(歯が生えてこない)
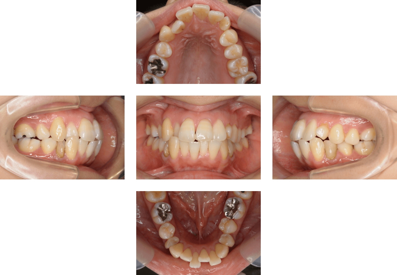
Case1
| 主訴 | 犬歯が埋まっていると指摘された |
|---|---|
| 診断名 | 左上3番の埋伏歯 |
| 年齢 | 31歳 |
| 治療に 用いた装置 |
リンガルブラケット矯正装置 (クリッピーL) |
| 抜歯部位 | 左上1番、下顎左右4番、左上C |
| 治療期間 | 3年4ヶ月 |
| 治療費用 | 1,385,100円 |
| リスク・ 副作用 |
|
Case2
| 主訴 | 左上の前歯が埋まっていると指摘された |
|---|---|
| 診断名 | 左上1番の埋伏歯 |
| 年齢 | 24歳5ヶ月 |
| 治療に 用いた装置 |
リンガルブラケット矯正装置(エッグブラケット)、 マルチブラケット装置 |
| 抜歯部位 | 上顎左右3番、左上C、左上6番、下顎左右4番 |
| 治療期間 | 3年2ヶ月 |
| 治療費用 | 1,160,500円 |
| リスク・ 副作用 |
|
Case3
| 主訴 | 歯が埋まっている、歯が足りない |
|---|---|
| 診断名 | 上顎左右4番の欠損、左上E晩期残存、左上5番の埋伏歯 |
| 年齢 | 22歳11ヶ月 |
| 治療に 用いた装置 |
リンガルブラケット矯正装置(エッグブラケット)、 マルチブラケット装置 |
| 抜歯部位 | 右下5番 |
| 治療期間 | 2年6ヶ月 |
| 治療費用 | 1,160,500円 |
| リスク・ 副作用 |
|













