- ホーム>
- 受け口(反対咬合・下顎前突)
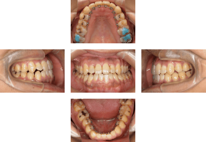
Case1
| 主訴 | 受け口と歯並びの乱れが気になる |
|---|---|
| 診断名 | 叢生を伴う下顎前突 |
| 年齢 | 38歳 |
| 治療に 用いた装置 |
リンガルブラケット矯正装置 (クリッピーL) |
| 抜歯部位 | 非抜歯 |
| 治療期間 | 2年10ヶ月 |
| 治療費用 | 1,385,100円 |
| リスク・ 副作用 |
|
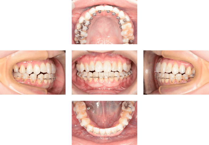
Case2
| 主訴 | ガタガタの歯並び |
|---|---|
| 診断名 | 叢生を伴う下顎前突 |
| 年齢 | 33歳 |
| 治療に 用いた装置 |
リンガルブラケット矯正装置 (エッグブラケット)、 マルチブラケット装置 |
| 抜歯部位 | 非抜歯 |
| 治療期間 | 2年4ヶ月 |
| 治療費用 | 1,085,000円 |
| リスク・ 副作用 |
|
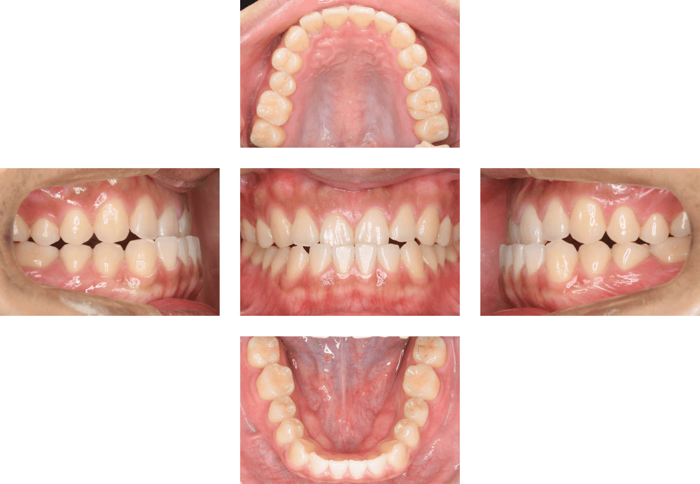
Case3
| 主訴 | 受け口 |
|---|---|
| 診断名 | 叢生を伴う下顎前突 |
| 年齢 | 45歳 |
| 治療に 用いた装置 |
リンガルブラケット矯正装置 (エッグブラケット) |
| 抜歯部位 | 非抜歯 |
| 治療期間 | 2年7ヶ月 |
| リスク・ 副作用 |
|
Case4
| 主訴 | 受け口とガタガタが気になる |
|---|---|
| 診断名 | 叢生を伴う下顎前突 |
| 年齢 | 27歳 |
| 治療に 用いた装置 |
リンガルブラケット矯正装置 (エッグブラケット) |
| 抜歯部位 | 非抜歯 |
| 治療期間 | 2年 |
| リスク・ 副作用 |
|
Case5
| 主訴 | 受け口 |
|---|---|
| 診断名 | 受け口 |
| 年齢 | 22歳 |
| 治療に 用いた装置 |
リンガルブラケット矯正装置(エッグブラケット) |
| 抜歯部位 | 非抜歯 |
| 治療期間 | 2年1ヶ月 |
| 治療費用 | 1,385,100円 |
| リスク・ 副作用 |
|
Case6
| 主訴 | 受け口 |
|---|---|
| 診断名 | 受け口 |
| 年齢 | 21歳 |
| 治療に 用いた装置 |
リンガルブラケット矯正装置(エッグブラケット) |
| 抜歯部位 | 非抜歯 |
| 治療期間 | 1年11ヶ月 |
| 治療費用 | 1,385,100円 |
| リスク・ 副作用 |
|



















