- ホーム>
- 先天性欠損歯(歯が無い)
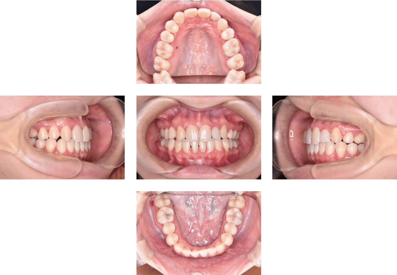
Case1
| 主訴 | 前歯の本数が足りない |
|---|---|
| 診断名 | 左上2番の先天性欠損 |
| 年齢 | 24歳 |
| 治療に 用いた装置 |
リンガルブラケット矯正装置 (クリッピーL) |
| 抜歯部位 | 左上4番 |
| 治療期間 | 3年8ヶ月 |
| 治療費用 | 1,385,100円 |
| リスク・ 副作用 |
|
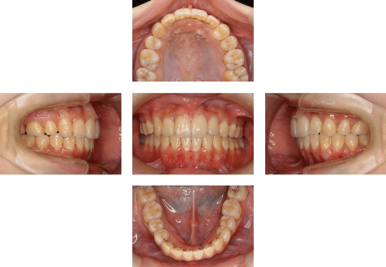
Case2
| 主訴 | 歯が足りない |
|---|---|
| 診断名 | 左上3番の先天性欠損 |
| 年齢 | 18歳 |
| 治療に 用いた装置 |
リンガルブラケット矯正装置 (エッグブラケット)、 マルチブラケット装置 |
| 抜歯部位 | 右上4番、左上乳犬歯 |
| 治療期間 | 3年3ヶ月 |
| 治療費用 | 1,085,000円 |
| リスク・ 副作用 |
|
Case3
| 主訴 | 生えてこない歯がある |
|---|---|
| 診断名 | 上下顎右側4番先天性欠損、左上3番埋伏歯、 左上2・4番に歯牙腫 |
| 年齢 | 23歳 |
| 治療に 用いた装置 |
リンガルブラケット矯正装置 (エッグブラケット) |
| 抜歯部位 | 右下4番、右上3番 |
| 治療期間 | 2年10ヶ月 |
| リスク・ 副作用 |
|
Case4
| 主訴 | 永久歯が生えてこない |
|---|---|
| 診断名 | 下顎左右5番先天性欠損、右下E残存歯 |
| 年齢 | 28歳 |
| 治療に 用いた装置 |
リンガルブラケット矯正装置 (エッグブラケット)、 マルチブラケット装置 |
| 抜歯部位 | 右下E、上顎左右4番 |
| 治療期間 | 2年9ヶ月 |
| リスク・ 副作用 |
|
Case5
| 主訴 | 歯が足りない |
|---|---|
| 診断名 | 右上3番下顎左右3番先天性欠損 |
| 年齢 | 29歳 |
| 治療に 用いた装置 |
リンガルブラケット矯正装置 (エッグブラケット)、 マルチブラケット装置 |
| 抜歯部位 | 上顎左4番 |
| 治療期間 | 4年6ヶ月 |
| 治療費用 | 1,160,500円 |
| リスク・ 副作用 |
|
























