- ホーム>
- 唇側矯正
歯科では歯の表側を「唇側(しんそく)」といい、唇側に矯正装置をつけて歯を移動させることを「唇側矯正」といいます。 当院では、舌側(歯の裏側)からの矯正をメインに行っておりますが、唇側矯正も行っております。
唇側矯正の特徴
清掃しやすい
唇側矯正は、しっかり目で見て確認しながら歯磨きすることができるため、清掃性が高く、清潔なお口の環境を維持することができます。
滑舌の問題や舌の違和感がない
表側に装置をつけるため、舌擦れて違和感を感じたり、滑舌に問題がでるようなことがありません。
費用を抑えることができる
どうしても費用がかかってしまう「舌側矯正」に比べて、比較的費用を抑えた治療を行うことができます。
使用する装置へのこだわり
不快感”ゼロ”を目指して
患者様にできるだけ快適な矯正治療を受けていただきたいという思いから、使用する装置にもこだわっております。 当院で使用している装置には下記のような特徴があります。
-
形状
卵型の丸みを帯びた形状で、頬や唇に擦れた場合の痛みや違和感を軽減

-
審美性
半透明で見た目が美しく、歯の表側につけていても目立ちにくい

-
厚み
歯とワイヤーを通す部分の距離が近いため、より歯をコントロールできる

-
摩擦が少ない
摩擦抵抗が少ない装置で、小さな力でよりスムーズに歯を移動

形状記憶型ワイヤー
形状記憶型ワイヤーは、ニッケルとチタンに銅を加えたもので、理想的な形状記憶を実現することができます。形状記憶作用に必要な弱い力で歯槽骨(歯を支える骨)ごとの歯の移動が可能になるため、歯の移動に必要なスペースを確保しやすいという特徴も併せ持っています。
全て院内で作製した
矯正装置を使用
患者様にご提供する矯正装置は全て院内に常駐している歯科技工士が一つひとつ丁寧に作製しております。 院内で作製することにより、密に連携をとることができ、より良い治療をご提供することができます。
舌側矯正との組み合わせ
当院では、多くの方が舌側矯正と組み合わせた治療を選択されます。 上あごには目立たない「舌側矯正」を、目立ちにくい下あごには「唇側矯正」を選択することで、費用を抑えながら目立ちにくい治療を行うことができます。
治療例
Case.1
-
- 主 訴
- 歯のデコボコ
- 診断名
- 叢生
- 年 齢
- 39歳
- 治療に用いた主な装置
- マルチブラケット装置
-
- 抜歯部位
- 上下左右4番
- 治療期間
- 3年1ヶ月
- 治療費用
- 1,005,480円
リスク・副作用
- ・矯正装置が付いていることで歯磨きが複雑になり、虫歯や歯肉炎になるリスクが高くなります。
- ・患者様の協力が得られないと、治療期間や治療結果に影響を与えます。
- ・装置による痛みや不快感がありますが、1~2週間で慣れることがほとんどです。
- ・歯が動き方には個人差があるため、予想された治療期間が延長することがあります。
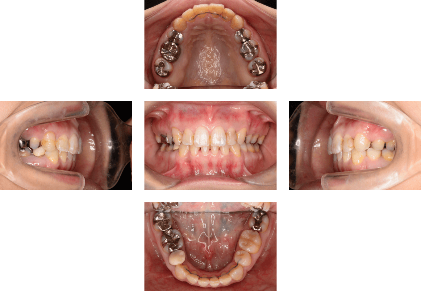
Case.2
-
- 主 訴
- 前歯の噛み合わせ
- 診断名
- 叢生を伴う過蓋咬合
- 年 齢
- 48歳
- 治療に用いた主な装置
- マルチブラケット装置
-
- 抜歯部位
- 非抜歯
- 治療期間
- 4年2ヶ月
- 治療費用
- 1,005,480円
リスク・副作用
- ・矯正装置が付いていることで歯磨きが複雑になり、虫歯や歯肉炎になるリスクが高くなります。
- ・患者様の協力が得られないと、治療期間や治療結果に影響を与えます。
- ・装置による痛みや不快感がありますが、1~2週間で慣れることがほとんどです。
- ・歯が動き方には個人差があるため、予想された治療期間が延長することがあります。







